本記事は、「歯肉移植手術の実施について」です。
2020年7月10日:予約を入れる
2020年8月1日:初診
2020年8月9日:抜歯
2020年8月15日:矯正器具の装着
2020年9月12日:矯正生活と第1回矯正装置の調整
2020年10月10日:第2回矯正装置の調整
2020年11月14日:第3回矯正装置の調整
2020年12月12日:第4回矯正装置の調整
2021年1月16日:第5回矯正装置の調整
2021年2月20日:第6回矯正装置の調整
2021年3月27日:第7回矯正装置の調整
2021年4月9日:歯茎の後退と治療について
2021年4月25日:第8回矯正装置の調整
2021年5月29日:第9回矯正装置の調整
2021年6月26日:第10回矯正装置の調整
2021年7月2日:歯茎の後退と治療について2
2021年7月31日:第11回矯正装置の調整
2021年8月21日:第12回矯正装置の調整
2021年10月23日:第13回矯正装置の調整
2021年11月20日:第14回矯正装置の調整
2021年12月18日:第15回矯正装置の調整
2022年1月22日:第16回矯正装置の調整
2022年2月26日:第17回矯正装置の調整
2022年3月13日:歯茎の後退と治療について3
2022年4月2日:第18回矯正装置の調整
2022年4月9日:歯茎の後退と治療について4
2022年5月14日:第19回矯正装置の調整
2022年6月25日:第20回矯正装置の調整
2022年6月26日:歯茎の後退と治療について5
2022年8月6日:歯茎の後退と治療について6
2022年10月1日:歯茎の後退と治療について7
2022年10月29日:第21回矯正装置の調整
2022年11月26日:第22回矯正装置の調整
2023年1月14日:第23回矯正装置の調整
2023年2月4日:歯茎の後退と治療について8
2023年3月11日:第24回矯正装置の調整
2023年5月6日:第25回矯正装置の調整
2023年5月27日:第26回矯正装置の調整
2023年6月3日:歯茎の後退と治療について9
2023年7月1日:第27回矯正装置の調整
2023年8月5日:第28回矯正装置の調整
2023年9月9日:第29回矯正装置の調整
2023年10月21日:第30回矯正装置の調整
2023年11月25日:第31回矯正装置の調整と第11回歯茎の後退と治療
2023年12月23日:第32回矯正装置の調整
2024年2月3日:第33回矯正装置の調整と第12回歯茎の後退と治療
2024年3月2日:第34回矯正装置の調整と虫歯の治療
2024年3月30日:第35回矯正装置の調整
2024年5月4日:第36回矯正装置の調整
2024年6月8日:第37回矯正装置の調整
2024年7月6日:第38回矯正装置の調整
2024年8月10日:第39回矯正装置の調整とクリーニング
2024年9月7日:第40回矯正装置の調整
2024年10月12日:第41回矯正装置の調整
2024年11月16日:第42回矯正装置の調整
2024年12月21日:第43回矯正装置の調整
2025年2月15日:第44回矯正装置の調整とクリーニング
2025年3月8日:第45回矯正装置の調整
2025年4月5日:第46回矯正装置の調整
2025年5月3日:第47回矯正装置の調整
2025年6月7日:第48回矯正装置の調整
2025年7月12日:第49回矯正装置の調整
2025年8月16日:第50回矯正装置の調整
2025年9月13日:第13回歯茎の後退と治療
2025年9月20日:第51回矯正装置の調整
2025年10月25日:第52回矯正装置の調整
2025年11月22日:第53回矯正装置の調整
2025年12月13日:第54回矯正装置の調整
2025年12月20日:第55回矯正装置の調整
2026年1月18日:第56回矯正装置の調整
2026年2月28日 & 3月28日:歯肉移植手術 ← 本記事
歯肉移植手術へ向けて
2026年2月7日、歯肉移植手術を実施する前に、歯茎の状態の最終検診を行いました。
前回1月18日に歯石取りなどを終えており、歯茎の状態も特に悪化していることもなかったので、2月21日にレントゲン検査 (CBCT) 実施後、2月28日と3月28日に歯肉移植手術(下の歯左右2番と3番計4本に対し、左側と右側の2回に分けて行う)を実施することになりました。
歯肉移植手術には1時間~1時間30分ほどの時間がかかるそうです。
下の歯左右2番・3番の計4本に歯肉移植手術を実施し、費用は2本4Juta (≒4万円)、合計4本8Jutaとのことでした。
歯列矯正をしてくれる先生と歯茎の状態を確認してくれる先生は別なのですが、Audy Dental には色んな専門の先生がいて、連携を取ってやってくれるので大変助かっています。



歯肉移植手術ですが、下の歯茎と上の歯茎に麻酔をし、上の歯茎を下の歯茎へ移植します。
僕の場合は下の歯2本に対して、12:40から約90分の施術時間でした。
出血は少しありましたが、麻酔で痛みもなく、終わった後は若干の痛みと痒みがある程度でした。

下に術後の時間別の変化を記していきます。
歯肉移植手術1回目(手術方式:CBCT、術部:左下2番・3番、手術時間1.5時間)
・3時間後:術部(下部のみ、上部は違和感のみ)と頭の痛みが始まった。すぐお風呂に入り、おかゆを少量食べて薬を飲み、すぐに寝た。
・7時間後:仮眠から起きると、唾液に血が常に混じり、少量の出血がずっと続いていた。この日は歯磨きできなかった。
・17時間後:翌朝目覚めると出血は止まっていて、術部の痛みは減った。体調もかなり良い感じだった。歯磨きはゆっくりすればできた。食事は難しいので右側(術部でない側)で時間をかけて食べた。
・27時間後:体のほてりを感じ始めた。1日1回飲む薬の効果が切れてきているようで、食事を取った後すぐに薬を飲んだら落ち着いた。
・51時間後:前日同様に体のほてりを感じ始めた。ただし昨日よりも楽で良くなってきているのを実感した。薬は3日分飲み終わったので終了。
・~6日後:その後は特に支障なく仕事もできた。食事や歯磨きは痛みがあり、慎重にゆっくりと。
・7日後:歯茎の状態確認で朝から検診予定。朝の歯磨き後から上顎の術部より出血が止まらなくなった。歯ブラシが当たってしまったようだ。歯磨きから歯医者までの2時間ほど常に血がにじみ出てて怖かった。検診時に出血部を縫ってもらった。もともとブラッシングが強い過ぎる癖があるので、歯磨きは本当に慎重する必要があると感じた。また、下の術部も歯磨きの影響で縫っていた糸が一部取れたので再縫合してもらった。
・21日後:多少の歯茎の定着が見られたものの、想定より歯肉は戻らなかった。その後歯医者で状況を確認した結果、再度歯肉移植することになった。
・28日後:食事や歯磨きの際の上顎の違和感がようやくなくなってきた。時間が経つにつれ、下の術部より上顎の歯肉採取部の方の痛み、違和感が大きかったので、それが1ヶ月ほどでようやく収まってきた。
左(上)から:術後5時間後、術後17時間後、術後1週間後、術後3週間後

歯肉移植手術1回目では残念ながら満足の行く結果が得られなかったので、結論としては2回目の手術を実施することになりました。
また、2回目の歯肉移植手術の方式は、ADMという方式で実施することになりました。1回目のCBCTは上顎からの痛み・出血を伴うこと、今回上手く行かなかったためだそうです。
なお、1回目のCBCT(4Juta)では左下2番・3番の2本に実施しましたが、2回目のADM(手術費4Juta+人工歯肉2Juta)では左下2番・3番と右下2番・3番の計4本に実施します。左下2本の失敗は保証範囲内ということで、費用はかかりませんでした。結論として、歯肉移植手術には合計10Jutaかかりました。

歯肉移植手術2回目(手術方式:ADM、術部:左下2番・3番と右下2番・3番、手術時間2時間)
・1時間後:術部に若干の痛みはあるが、1回目の手術より体調は楽。
・3時間後:昼食を食べることができた。熱いものは避けるよう言われているので、常温で柔らかいものを奥歯で噛むように心がけた。上顎の手術を実施していないので食べやすい。
・19時間後:痛みもなく、食事も柔らかくて熱くなければ普通に食べられた。歯磨きは怖いので、下の歯は術部に触れないよう先端の細いブラシで慎重に磨いた。
・89時間後:右下3番の縫合が外れ、歯間ブラシに絡まって引っ張ってしまい、前日の夜に軽い出血があった。
・154時間後:右下3番の外れた縫合部を再縫合してもらった。歯茎の付き方は右下の方が左下よりも良く、引き続き来週の検査で状態を確認する。
左(上)から:術後3時間後、術後19時間後、34時間後、58時間後、65時間後、89時間後、114時間後、154時間後



歯肉移植手術実施後、下左右にある抜歯跡を埋める作業を再開し、その後矯正器具を外すという流れになります。矯正器具を外した後は、後戻りを防ぎためにリテーナーを作成します。

オススメされたリテーナーは2種類で、ESSIXとFIXEDです。
FIXEDは上下1番〜3番の歯の裏に装着し、取り外しできないタイプです。
ESSIXは上下全部の歯を覆い、取り外し可能なタイプです。歯型を取ってから4-7日後に受け取り可能とのこと。

歯茎の状態について
_20250913-e1757779565664.jpg)
先週に歯茎後退の件で相談した結果、今後の治療方針が決まりました。
当初は歯並び・抜歯跡を埋めた後、歯列矯正器具を外す前に歯肉移植手術を実施する予定でしたが、矯正器具を外して舌側(歯の裏側)リテーナー装着後に歯肉移植手術を実施する流れとなりました。
1. 歯列矯正の途中だが、歯茎後退が悪化してるので、抜歯跡を埋める前に歯肉移植手術の実施する。
2. 歯肉移植手術とそれまでの流れは、1月18日:歯石取りと歯茎の状態の検査 → 2月21日:レントゲン検査 (CBCT) → 2月28日と3月7日:歯肉移植手術
3. 歯肉移植手術は約1時間30分で、上顎から歯肉を取り、下の前歯に移植する。左右2番と3番の計4本に対し、左右に分けて1週間ずつ手術を行う。
4. 歯肉移植手術終了後、歯列矯正の再開。抜歯跡を埋める作業のスタート。
※費用は手術1回あたり4Juta(2本)、2回実施するので計8Juta(4本)。
※手術後、歯列矯正の再開で歯茎が再度下がる可能性が十分にあり得るとのこと。それでも実施しますか?と事前に確認あり。歯列矯正終了まで矯正治療を続けると歯茎の状態がさらに悪化する可能性が伝えられていたため、このタイミングでの歯肉移植手術に踏み切った。
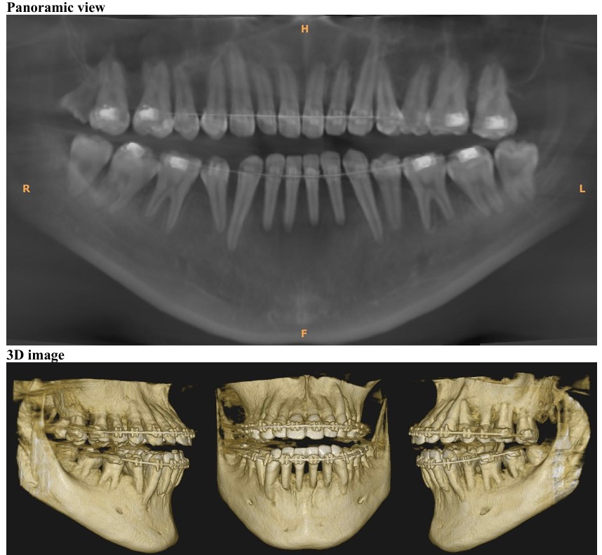
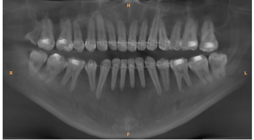
・2026年2月21日撮影

・2025年9月13日撮影

・2022年10月1日撮影(約3年前)

歯並びの変化(写真あり)
閲覧注意!
歯並びの変化を写真で載せていきます。
<上の歯並び>
【2020年8月15日:矯正初日】
【2020年9月12日】
【2020年10月10日】
【2020年11月14日】
【2020年12月12日】
【2021年1月17日】
【2021年2月20日】
【2021年3月27日】
【2021年4月24日】
【2021年5月29日】
【2021年6月26日】
【2021年7月31日】
【2021年8月21日】

【2021年10月23日】

【2021年11月20日】

【2021年12月18日】

【2022年1月22日】

【2022年2月26日】

【2022年4月2日】

【2022年5月14日】

【2022年6月25日】

【2022年10月29日】

【2022年11月26日】

【2023年1月14日】

【2023年3月11日】

【2023年5月6日】

【2023年5月27日】

【2023年7月1日】

【2023年8月5日】

【2023年9月9日】

【2023年10月21日】

【2023年11月25日】

【2023年12月23日】

【2024年2月3日】

【2024年3月2日】

【2024年3月30日】

【2024年5月4日】

【2024年6月8日】

【2024年7月6日】

【2024年8月10日】

【2024年9月6日】

【2024年10月12日】

【2024年11月16日】

【2024年12月21日】

【2025年2月15日】

【2025年3月8日】

【2025年4月5日】

【2025年5月3日】

【2025年6月7日】

【2025年7月12日】

【2025年8月16日】

【2025年9月20日】

【2025年10月25日】

【2025年11月22日】

【2025年12月13日】

【2025年12月20日】

【2026年1月18日】

<下の歯並び>
【2020年8月15日:矯正初日】
【2020年9月12日】
【2020年10月10日】
【2020年11月14日】
【2020年12月12日】
【2021年1月17日】
【2021年2月20日】
【2021年3月27日】
【2021年4月24日】
【2021年5月29日】
【2021年6月26日】
【2021年7月31日】
【2021年8月21日】

【2021年10月23日】

【2021年11月20日】

【2021年12月18日】

【2022年1月22日】

【2022年2月26日】

【2022年4月2日】

【2022年5月14日】

【2022年6月25日】

【2022年10月29日】

【2022年11月26日】

【2023年1月14日】

【2023年3月11日】

【2023年5月6日】

【2023年5月27日】

【2023年7月1日】

【2023年8月5日】

【2023年9月9日】

【2023年10月21日】

【2023年11月25日】

【2023年12月23日】

【2024年2月3日】

【2024年3月2日】

【2024年3月30日】

【2024年5月4日】

【2024年6月8日】

【2024年7月6日】

【2024年8月10日】

【2024年9月6日】

【2024年10月12日】

【2024年11月16日】

【2024年12月21日】

【2025年2月15日】

【2025年3月8日】

【2025年4月5日】

【2025年5月3日】

【2025年6月7日】

【2025年7月12日】

【2025年8月16日】

【2025年9月20日】

【2025年10月25日】

【2025年11月22日】

【2025年12月13日】

【2025年12月20日】

【2026年1月18日】

検診費用
歯肉移植手術と事前検診にかかった費用は次のとおりです。
2026年2月7日(土)
Audy Dental Bekasi:Rp. 265.000 (2,120円)
・歯茎の状態の確認:Rp. 200.000
・その他(Administrasi):Rp.65.000
累計:Rp. 55.495.000 (443,960円)
※1ルピア = 0.008円として計算
2026年2月21日(土)
Audy Dental Kemang:Rp. 1.765.000 (14,120円)
・レントゲン検査(Rontgen CBCT):Rp. 1.700.000
・その他(Administrasi):Rp.65.000
累計:Rp. 57.260.000 (458,080円)
※1ルピア = 0.008円として計算
2026年2月28日(土)歯肉移植手術1回目(手術方式:CBCT、術部:左下2番・3番、手術時間1.5時間)
Audy Dental Bekasi:Rp. 4,280,000 (34,240円)
・歯肉移植手術(Gingival Graft):Rp. 4.000.000
・その他(Administrasi):Rp.65.000
・痛み止めの薬(Arcoxia 60mg):Rp. 215.000 (10個入り) ※薬局で購入するようにとのことで、もらったメモを持って買いに行きました。
累計:Rp. 61,540,000 (492,320円)
※1ルピア = 0.008円として計算
2026年3月7日(土)歯肉移植手術後の検診
Audy Dental Bekasi:Rp. 415,000 (3,320円)
・歯肉移植手術後の検査等(Konsultasi Lengkap):Rp. 350,000
・その他(Administrasi):Rp.65.000
累計:Rp. 61,955,000 (495,640円)
※1ルピア = 0.008円として計算
2026年4月4日(土)歯肉移植手術2回目実施前の検診
Audy Dental Bekasi:Rp. 415,000 (3,320円)
・歯肉移植手術後の検査等(Konsultasi Lengkap):Rp. 350,000
・その他(Administrasi):Rp.65.000
累計:Rp. 62,370,000 (498,960円)
※1ルピア = 0.008円として計算
2026年4月11日(土)歯肉移植手術2回目(手術方式:ADM、術部:左下2番・3番と右下2番・3番、手術時間2時間)
Audy Dental Bekasi:Rp.6,065,000 (48,520円)
・歯肉移植手術(Gingival Graff):Rp. 4,000,000
・人工歯肉の材料(Membrane Periodonial Maderate):Rp. 2,000,000
・その他(Administrasi):Rp.65.000
累計:Rp. 68,435,000 (547,480円)
※1ルピア = 0.008円として計算
2026年4月18日(土)歯肉移植手術2回目実施前の検診
Audy Dental Bekasi:Rp. 365,000 (2,920円)
・歯肉移植手術後の再縫合(Buka Jahitan Pasca Operasi):Rp. 300,000
・その他(Administrasi):Rp.65.000
累計:Rp. 62,735,000 (501,880円)
※1ルピア = 0.008円として計算
まとめ
ずっと問題になっている歯茎後退の問題で、治療方法を専門の先生と交えて実施し、結論として「矯正治療を中断して、まずは歯肉移植手術を実施する」ことになりました。
レントゲン検査 (CBCT) の結果をもとに、歯肉移植手術を2回(2月28日と3月28日)に分けて実施しました。
手術自体は麻酔をするので痛みはなく、少し出血がある程度でした。手術時間は1回あたり90分で、手術後は歯磨きを強くしすぎないことや熱いものを飲まないよう注意し、指定された痛み止めの薬を1日1回、3日間飲み続けるようにとのことでした。
歯列矯正を中断する(矯正器具は装着したまま)→矯正器具を外す前に歯肉移植手術を2回に分けて実施する。→歯列矯正を再開し、抜歯跡を埋めた後、矯正器具を外し、FIXEDタイプ(取り外し不可)とESSIXタイプ(取り外し可)をつける。
























